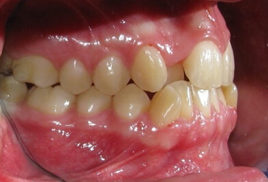
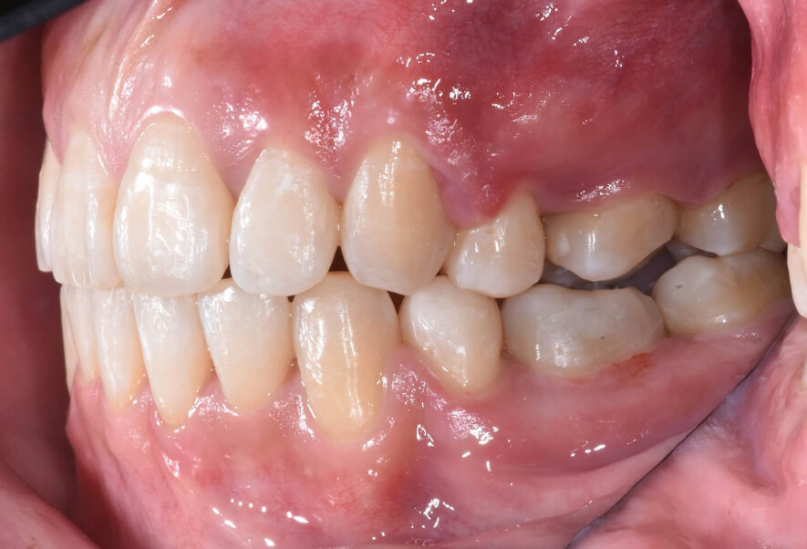
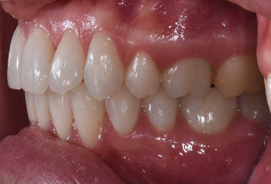
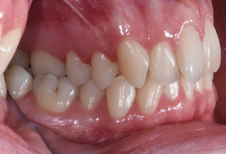
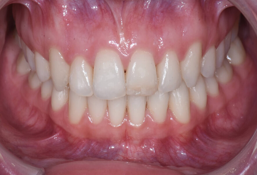
CASO CLINICO 1

SECONDA CLASSE CON MORSO PROFONDO

Si tratta di una malocclusione in cui a lungo andare si può determinare usura degli incisivi causata dal fatto che i denti superiori coprono molto gli inferiori ed il contatto dentale non è perfetto (i denti superiori sono molto in avanti rispetto agli inferiori).

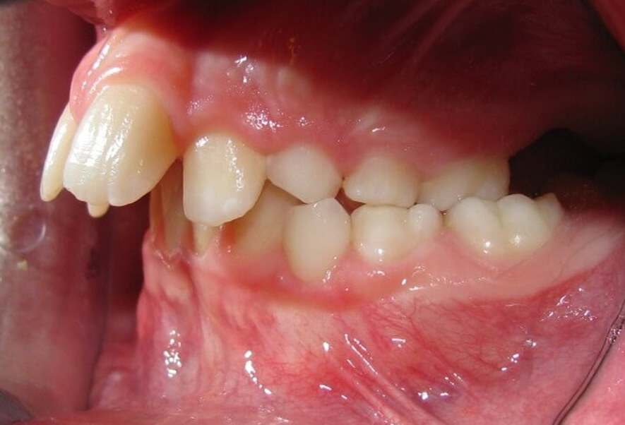
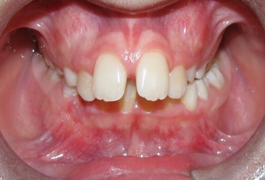
CASO CLINICO 2

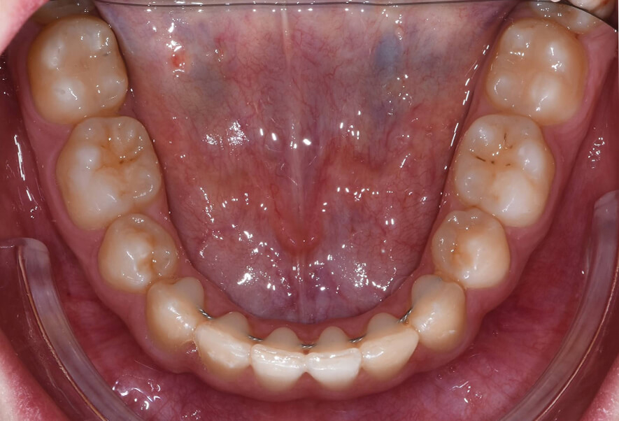
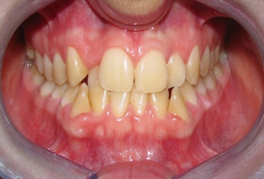
TERZA CLASSE CON AFFOLLAMENTO

Si tratta di una discrepanza nella posizione sagittale delle ossa mascellari in cui la parte inferiore delle ossa mascellari si presenta preponderante rispetto alla superiore, nel caso specifico era presente un affollamento più marcato nell’arcata inferiore.

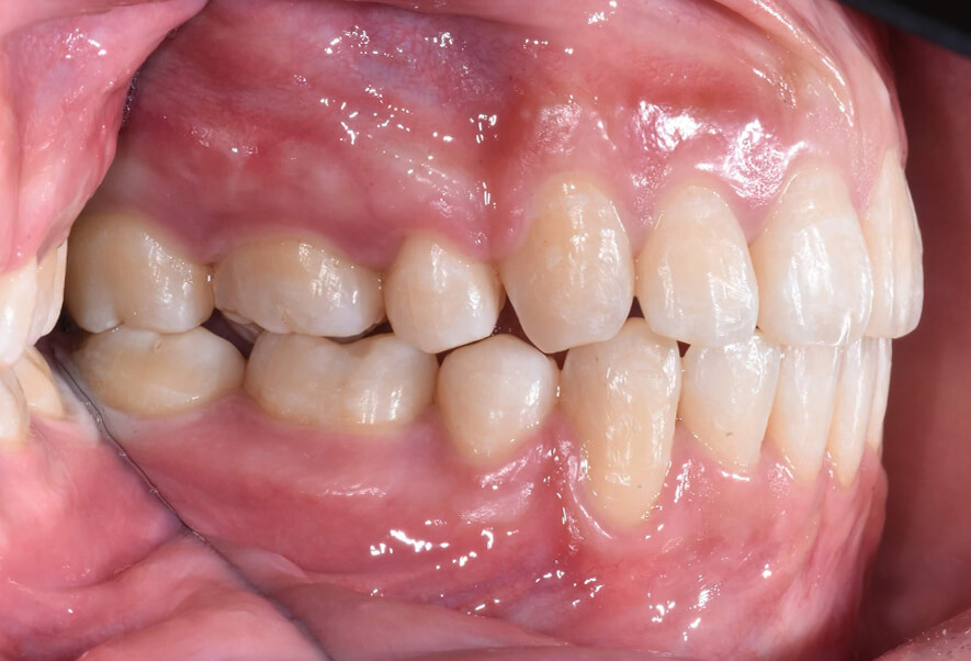
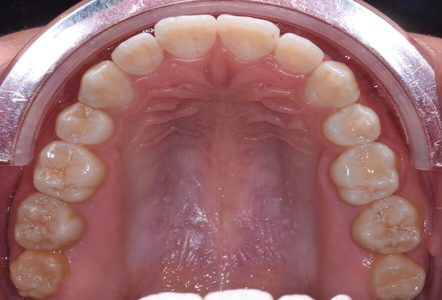
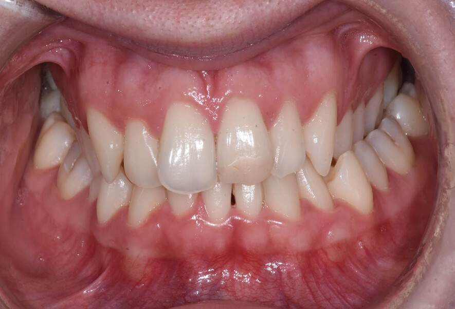
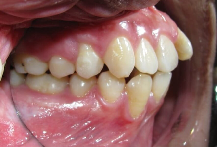
CASO CLINICO 3

AFFOLLAMENTO E BIPROTUSIONE

Si tratta di una malocclusione in cui si evidenzia un grado marcato di affollamento degli elementi dentari ed una loro posizione proclinata.

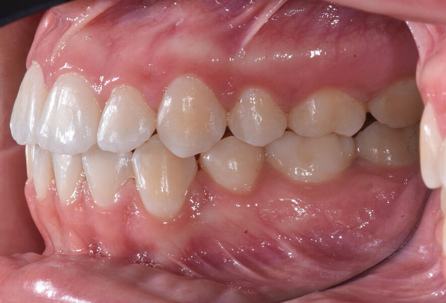
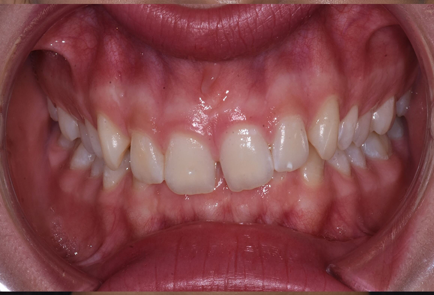
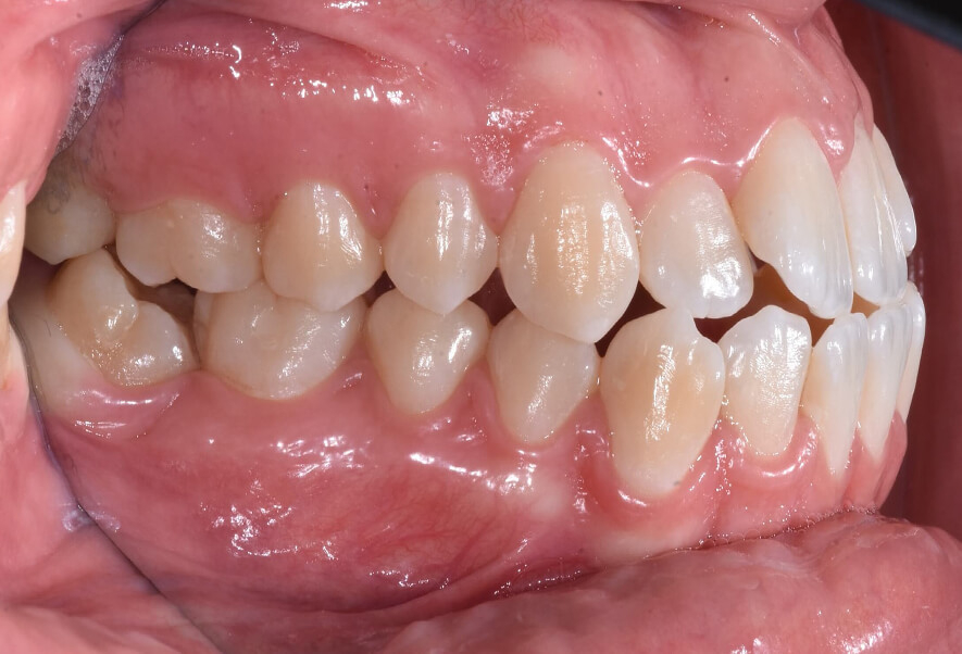
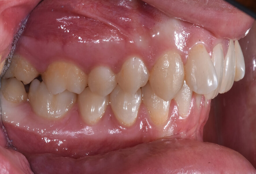
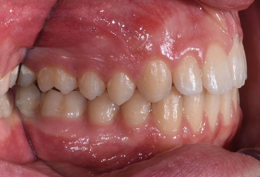
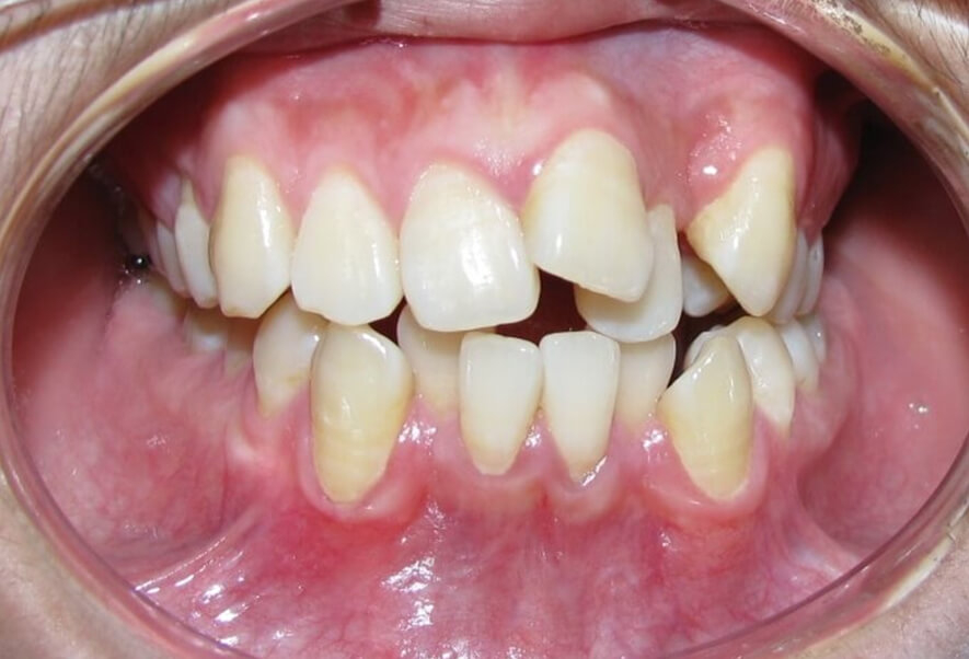
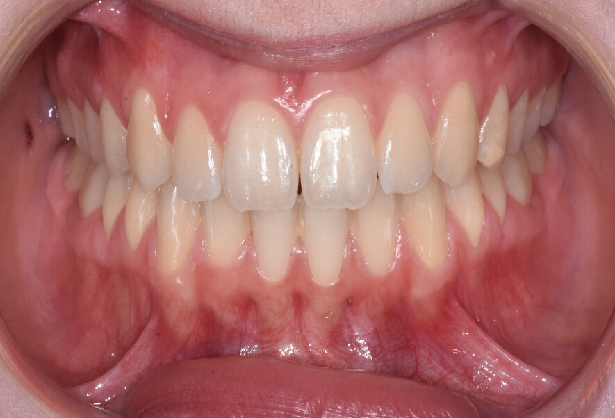
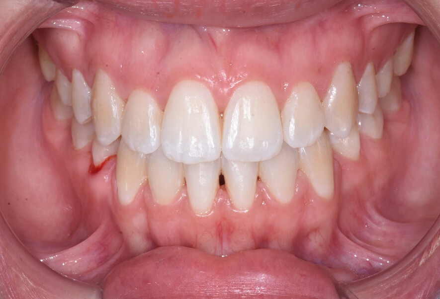
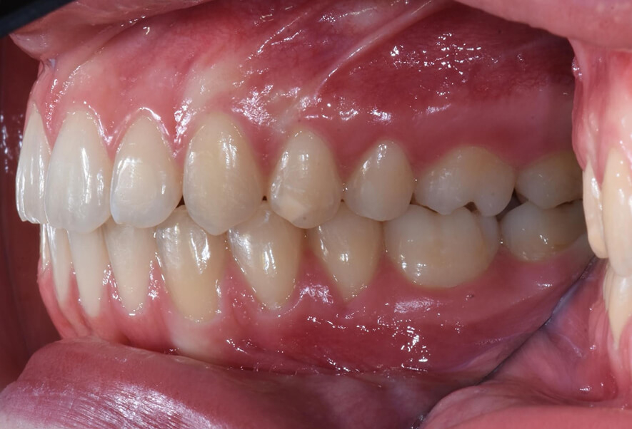
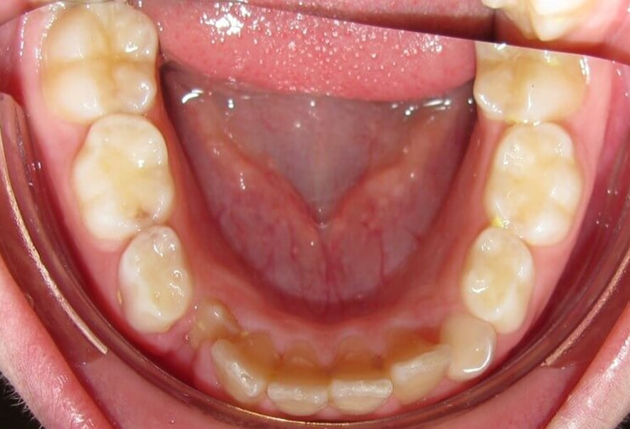
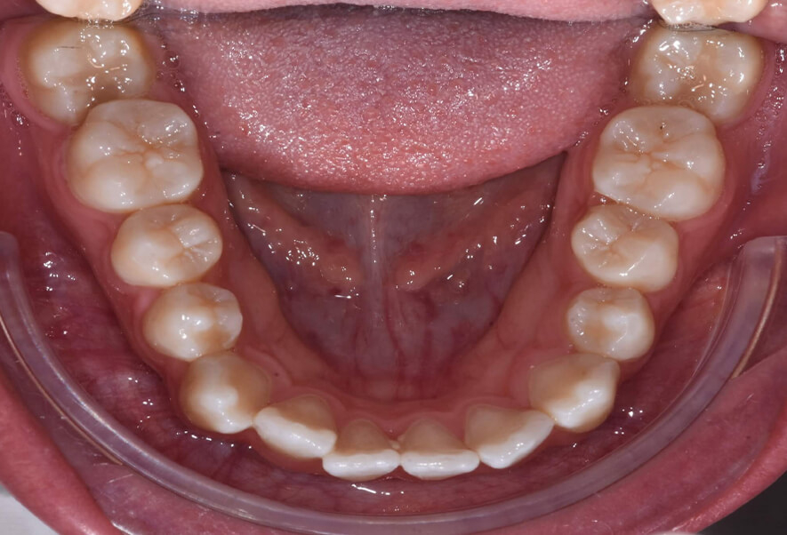
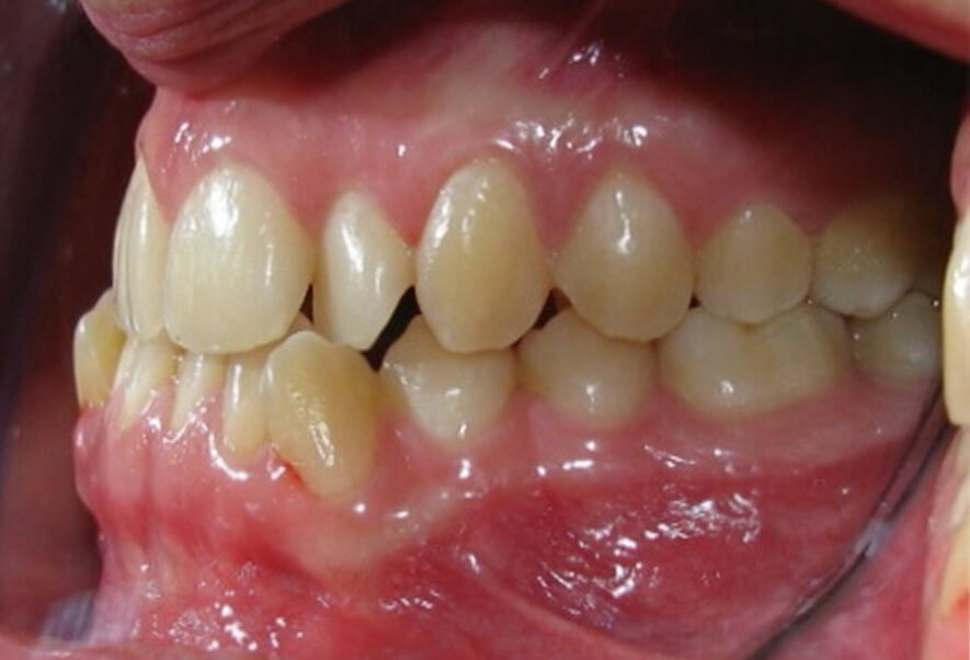
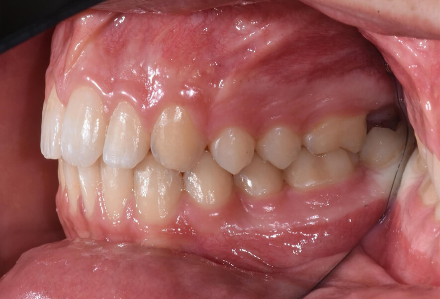
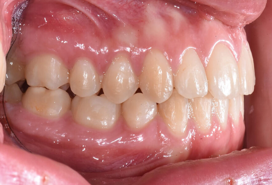
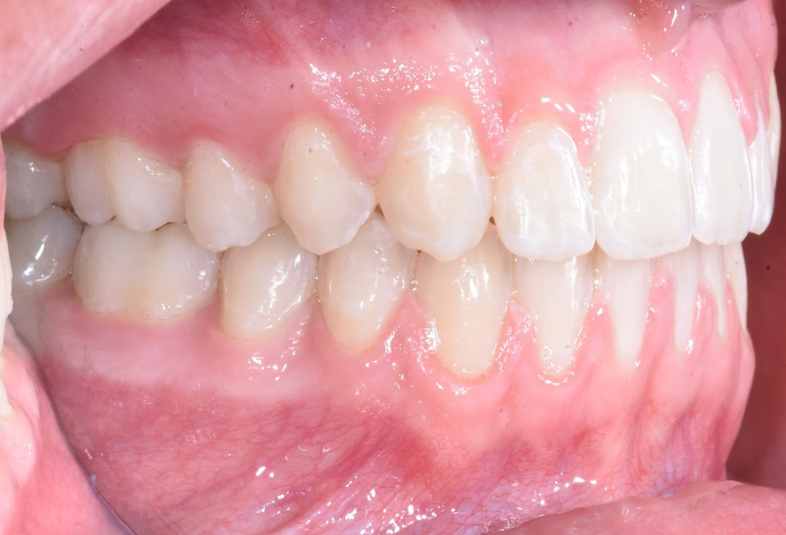
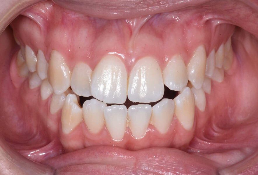
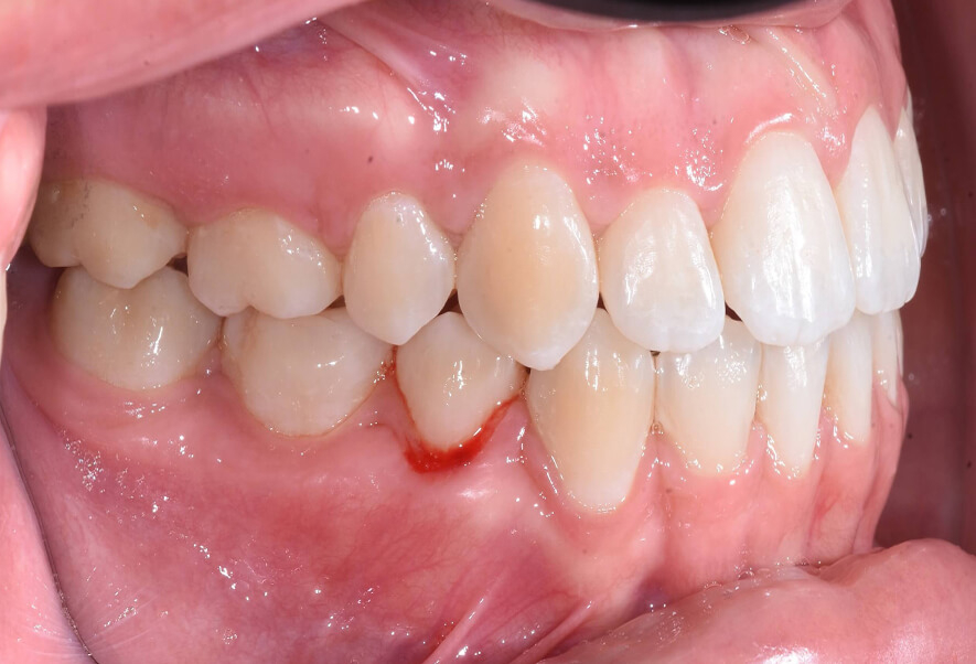
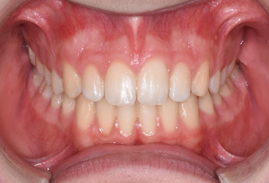
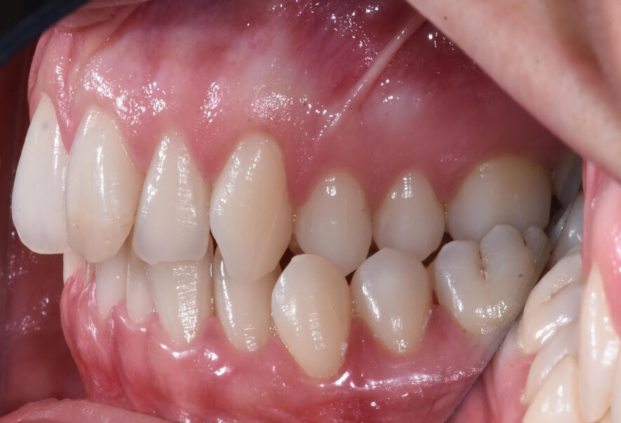
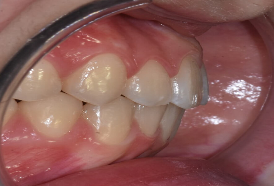
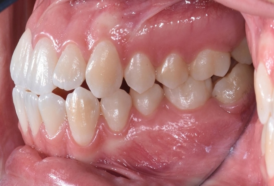
CASO CLINICO 4

SECONDA CLASSE CON MORSO PROFONDO

Si tratta di una malocclusione in cui i denti superiori sono molto in avanti rispetto agli inferiori ed al contempo i denti superiori coprono molto gli inferiori.

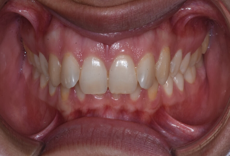
CASO CLINICO 5

TERZA CLASSE CON BIPROTRUSIONE

Si tratta di una malocclusione in cui l’arcata inferiore è preponderante rispetto alla superiore, con affollamento e protrusione dei denti di entrambe le arcate. La paziente presentava anche una anomalia nella posizione dei secondi molari inferiori. Il profilo labiale risente della posizione errata delle basi scheletriche e dei denti e si denota un miglioramento dopo terapia ortodontica

CASO CLINICO 6

SECONDA CLASSE CON CROSS BITE

Si tratta di una malocclusione in cui l’arcata superiore si presenta in avanti e con una forma contratta rispetto all’inferiore ed i denti inferiori sul lato sinistro si presentano esterni rispetto ai superiori.

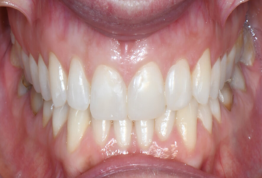
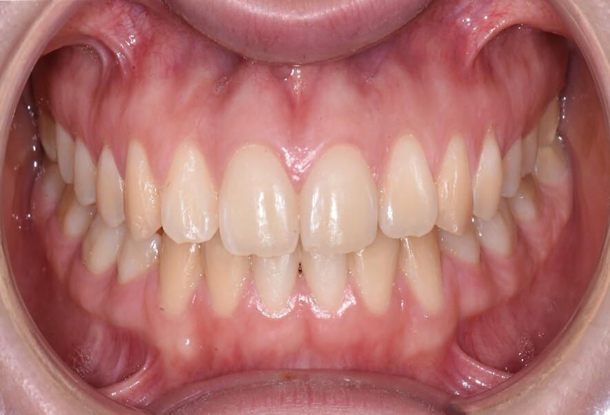
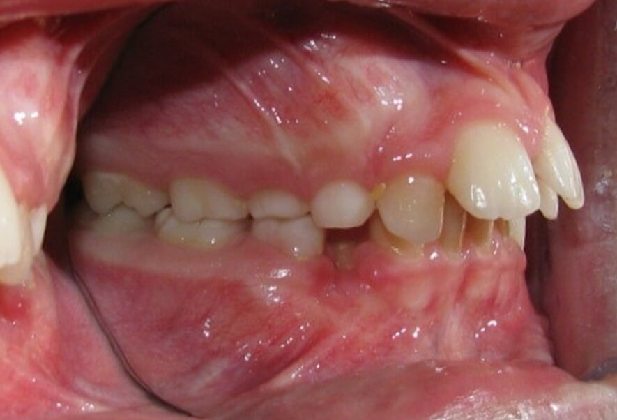
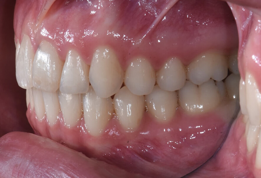
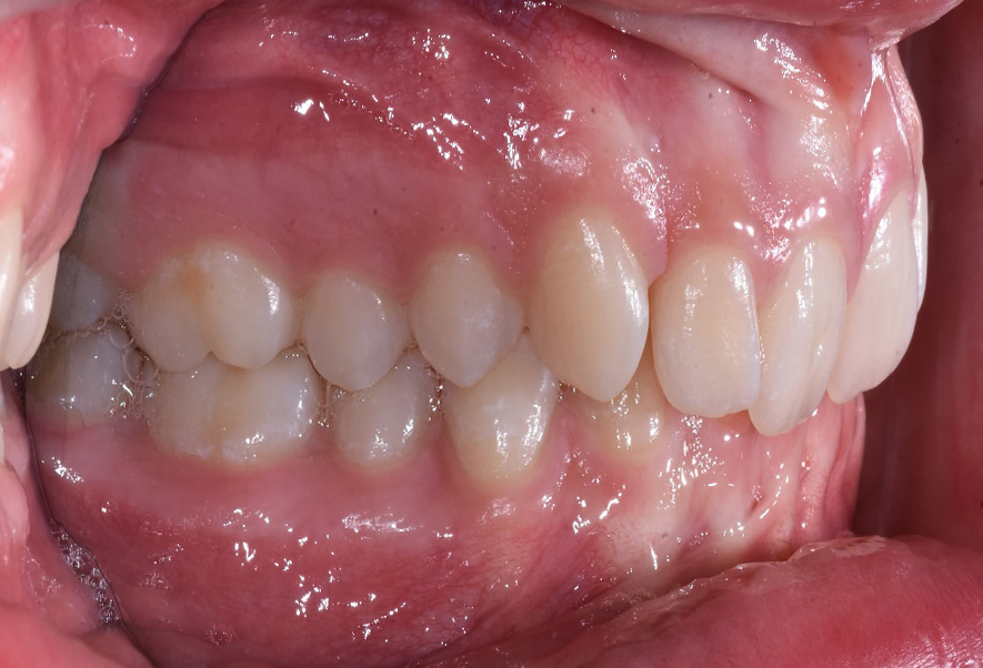
CASO CLINICO 7

SECONDA CLASSE CON INCOMPETENZA LABIALE

Si tratta di una malocclusione in cui gli elementi dentari dell’arcata superiore sono posizionati in avanti rispetto agli inferiori, questo può incidere sulla competenza labiale ovvero sulla capacità di poter chiudere le labbra senza contrarre la muscolatura circostante.

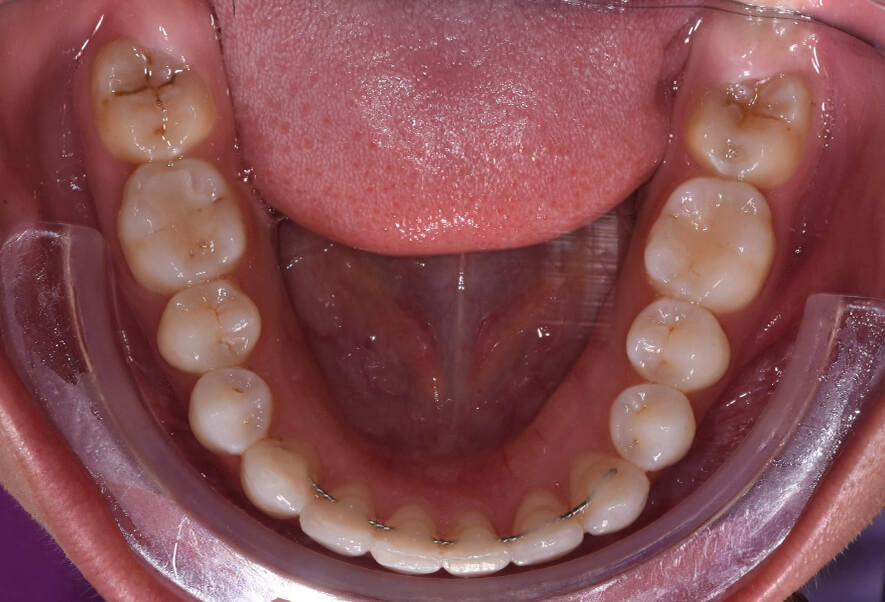
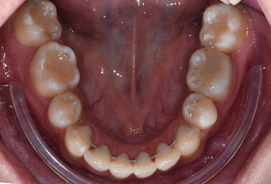
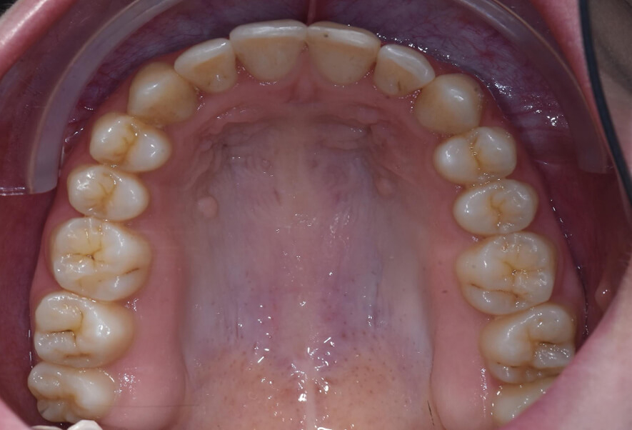
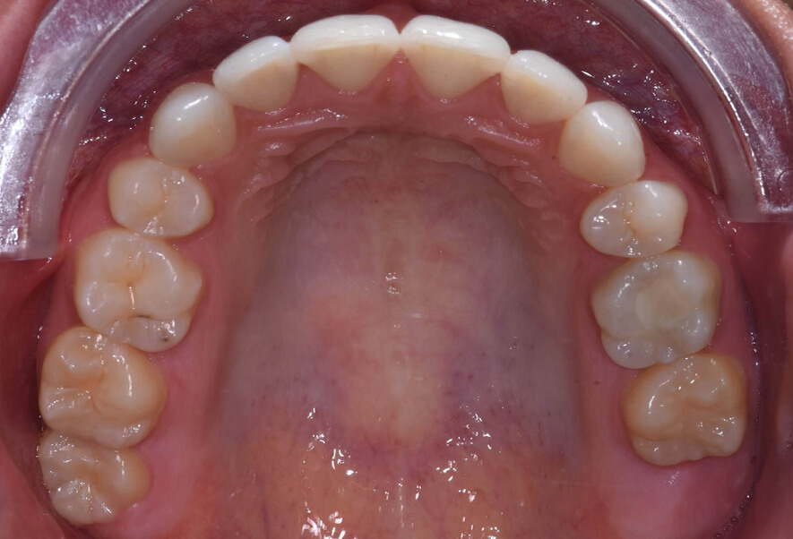
CASO CLINICO 8

CROSS BITE BILATERALE IN PAZIENTE ADULTO CON AFFOLLAMENTO

Si tratta di una malocclusione in cui i denti dell’arcata inferiore risultano esterni rispetto a quelli dell’arcata superiore in entrambi i lati. Nei bambini queste problematiche sono facilmente risolvibili con un trattamento di espansione del mascellare superiore, nei pazienti adulti dopo studio accurato delle radiografie è possibile valutare una espansione del mascellare supportata scheletricamente.

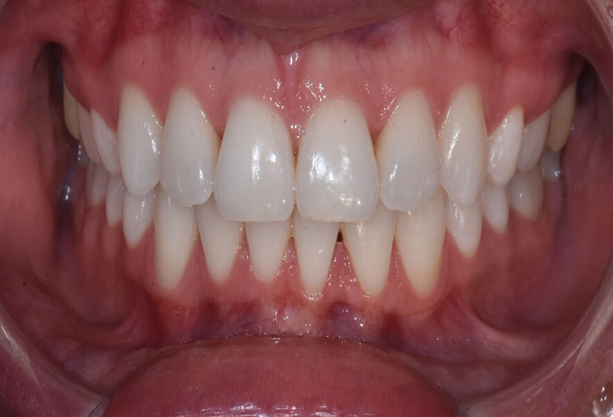
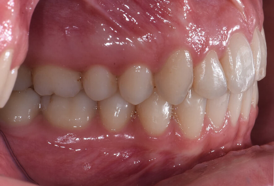
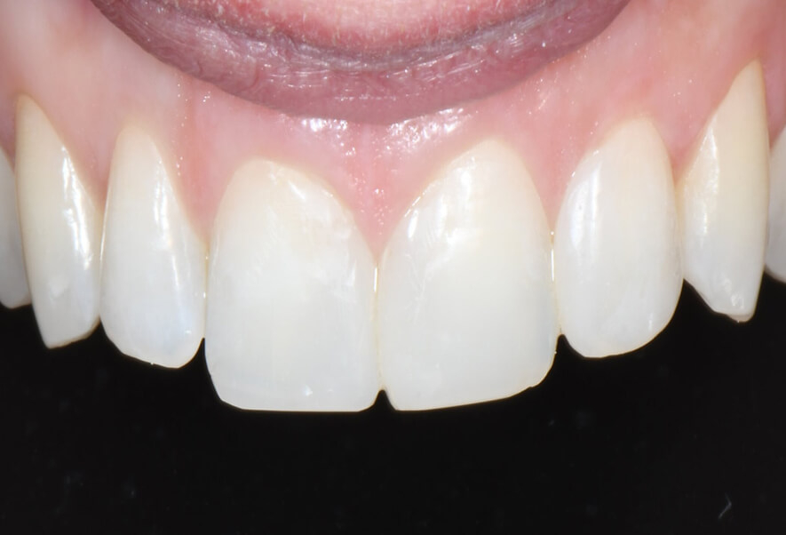
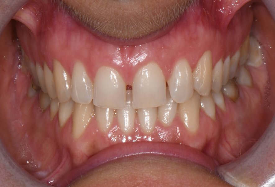
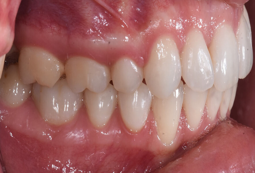
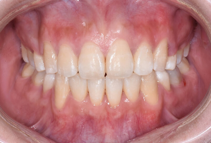
CASO CLINICO: SBIANCAMENTO

Sbiancamento professionale e ricostruzione degli elementi dentari anteriori per chiudere i diastemi con materiali compositi

PRE

POST

Prenota la tua visita

Compila il form e ti ricontatteremo al più presto per organizzare la tua visita in ambulatorio.
Oppure scrivici su WhatsApp.